- Reaction score
- 2,721
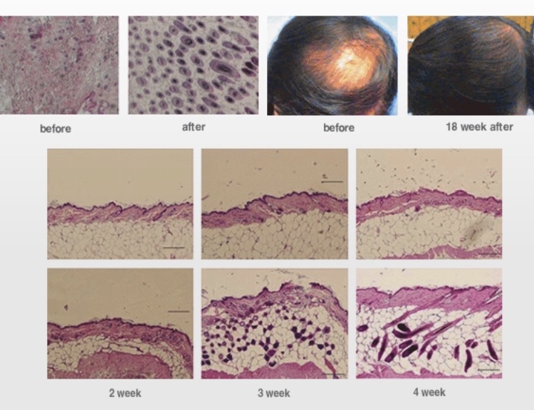
So basically if you have a look at the data for both men and men, the average amount of regrowth was 20% and 20% increase in hair shaft thickness over the course of 12 weeks. Some of those men had up to 50% increase. That’s pretty good I reckon.
