Replicel Is On Fire Lately — Data In Feb.

sunchyme1

Senior Member
My Regimen
Reaction score
6,988
ANSWER-ME-NOW-meme-13237.jpg
 

br1

Senior Member
Reaction score
2,173
well the same parents who are buying kids cars, cell phone etc are going to pay for it..in US that is a big market.

In Brazil (country where I was born and lived for 35yrs), you see poor people (POOR, not American-poor) with their brand clothes and IPHONES (and a f*****g iPhone cost a fortune there)..
It's a matter of priorities, really..
 

hairblues

Banned
My Regimen
Reaction score
8,251
In Brazil (country where I was born and lived for 35yrs), you see poor people (POOR, not American-poor) with their brand clothes and IPHONES (and a f*****g iPhone cost a fortune there)..
It's a matter of priorities, really..
Brazil is huge with cosmetic procedures also if not mistaken? even poor people?
 

br1

Senior Member
Reaction score
2,173
Some very positive news from Replicel!

VANCOUVER, June 13, 2017 /CNW/ - RepliCel Life Sciences Inc. (OTCQB: REPCF) (TSXV: RP) (FRA:p6P2) ("RepliCel" or the "Company") is pleased to announce it has signed a collaborative research project agreement with the University of British Columbia ("UBC"). The project will be co-lead by the UBC's Dr. Kevin McElwee and Professor Youwen Zhou.

The project is designed to deliver a gene and protein expression "map" of healthy hair follicle cells expected to be critically important to improving key components of the manufacturing, regulatory, and clinical profile of RepliCel's cell therapy products.

"We are very excited to be working with UBC on a project we've spent considerable time designing to mature our understanding of the cell populations we work with to improve our product manufacturing, clinical outcomes, and assays critical to regulatory approval and commercialization," stated RepliCel President and CEO, R. Lee Buckler.

This study will examine different cell groups from human hair follicles and look for differences, and similarities, in gene and protein expression. Additionally, the project will analyze array data from select subjects who participated in RepliCel's phase I/IIa clinical trial of its RCH-01 product in development for the treatment of androgenetic alopecia which completed earlier this year. This includes data from patients who had the best clinical hair growth response at six months and a sustained positive response at 24 months.

In the study with UBC, the gene expression profiles of the cultured cells from these clinical trial subjects who had a strong hair growth response will be compared to the gene expression profile of subjects who had a reduced hair growth response. The analysis is anticipated to allow RepliCel to better identify specific genes with high or low expression in the cultured cells that correspond to strong hair growth promotion.

http://www.newswire.ca/news-release...ss-hair-follicle-cell-data-map-628130693.html

Lee Buckler on Biztalk Radio:
https://soundcloud.com/user-307065880/lee-buckler-on-biztalk-radio

Old news buddy..
 

kuba197

Established Member
My Regimen
Reaction score
217
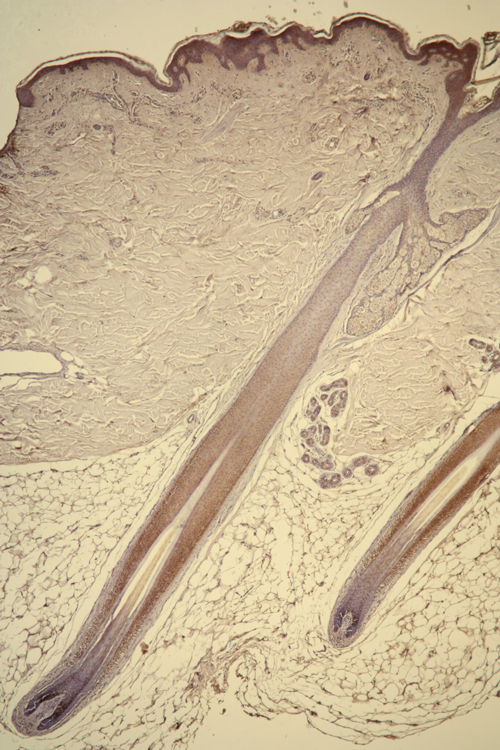
Hair loss, or alopecia, is thought to affect up to around 70% of men and 40% of women during their lifetime. While the causes and types can vary, hair loss of any kind can be distressing, and most people want to stop or reverse the process. A novel approach to treating the condition is currently being developed, which relies on using a person's own cells to repopulate their hair follicles.

To find out more about this method, and some of the advantages it could offer over current treatments, we spoke to Lee Buckler, President and CEO of RepliCel.

AM: Can you tell us about some of the cellular and molecular mechanisms thought to be responsible for hair loss?


LB: In androgenic alopecia, the androgen hormone kills off one of the cell populations in the hair follicle that’s responsible for hair growth. They’re called the dermal sheath cup cells and sit at the base of the hair follicle. The androgen hormone attaches to a cell receptor on the surface of those cells. That same cell population located at the back of the head simply lacks the receptor for the androgen hormones to use in its attachment. So, those cells are essentially mechanically immune to the condition and that’s why people with pattern baldness usually have hair on the back of their head.

hair-follicle-21497365732173.png

As a result, we start with a tissue biopsy at the back of the head and isolate those cells which are immune to the condition and grow millions of more cells to repopulate the follicles on top of the head.


AM: What are the limitations of current hair loss therapies?

LB: Simply put, hair transplantation is bloody, messy and highly variable. It requires surgery, is very expensive and a lot of times it doesn’t work. There are products on the market that claim to promote hair growth. Propecia is a repurposed prostate drug to treat hair loss. Women are not allowed to use it and for men there are common side effects that include loss of libido and other sexual side effects. It also doesn’t stop the progression of the condition.

Rogaine is a topical product that you spread on the top of your head and we’ve found that people dislike the required daily application of the solution. Furthermore, the evidence is weak that it works at all.

AM: Can you tell us about the potential that cell therapy could offer, and the advantages it may have over other therapies?

LB: We’ve shown there are no significant or long-term adverse effects or side effects to our cell therapies. We believe our technology not only stabilizes hair loss, but also reverses it and, we believe it will be potentially long-lasting. There’s nothing more natural than using your own cells to regrow your hair.

AM: How does Replicel’s cell therapy work?

LB: Our hair loss treatment works by using autologous cell implantation technology. Dermal sheath cup cells from a patient’s own healthy hair follicles are replicated into millions of cells over a two-to-three-month period. These cells are then reintroduced into areas affected by hair loss and we have found that this triggers the development of new hair growth.

While the initial studies have focused on androgenetic alopecia which is the primary reason for pattern baldness in men and a primary reason for thinning hair in women, we believe our treatment can potentially be used for trauma induced hair loss, traction alopecia, chemotherapy induced hair loss, scarring alopecia, congenital alopecia and congenital hypertrichosis or the condition of abnormal hair patterns.

https://www.technologynetworks.com/cell-science/blog/a-new-approach-to-treating-hair-loss-289584
 
  • Like
Reactions: br1

H

Senior Member
Reaction score
775
We believe our technology not only stabilizes hair loss, but also reverses it and, we believe it will be potentially long-lasting.
we have found that this triggers the development of new hair growth.
These stand out to me. Isnt this an old interview or are they now claiming this? Reverse seems to be subjective opinion in the hair loss world what's their idea of it?
 

mdmnota

Established Member
My Regimen
Reaction score
278
How can this be f*****g maintenance, when he says cells from healthy follicles are replicatee into millions?
 

MomoGee

Experienced Member
My Regimen
Reaction score
1,837
Nobody has answered me.... couldn't you theoretically apply minoxidil and then stop it without hair loss? Since the scalp is immune?
No one has answered you cause no one truly knows how to. The product hasn't been released and you can't extract conclusions from just knowing the basic mechanism of operation.

I guess we will find out in 5 years time when the cure is on the market.
 

H

Senior Member
Reaction score
775
How can this be f*****g maintenance, when he says cells from healthy follicles are replicatee into millions?
They are replacing the complimentary repair cells helping the follicles stay healthy that have been exhausted from dht. They are basically like follicle field medics but they aren't a necromancers that can bring follicles back from miniaturization graveyard if I understand correct.
 

Pavi

Senior Member
My Regimen
Reaction score
621
We are halfway through June of 2017. IF (big If) this releases on schedule... our nightmares could be ended soon
 

That Guy

Banned
My Regimen
Reaction score
5,361
They are replacing the complimentary repair cells helping the follicles stay healthy that have been exhausted from dht. They are basically like follicle field medics but they aren't a necromancers that can bring follicles back from miniaturization graveyard if I understand correct.

It should be able to make the hair thick again, as I recall.

I'm going to try to get clarification on this as their comments on Twitter and their results they published somewhat contradict each other.
 

H

Senior Member
Reaction score
775
It should be able to make the hair thick again, as I recall.

I'm going to try to get clarification on this as their comments on Twitter and their results they published somewhat contradict each other.
Ya I guess that could be what they mean when they say reverse. I feel like it's been back and forth since the beginning. The first headline I read for replicel something mentioning the "cure" for hair loss and that video certainly suggested it was turning a horshoe into a prepubescent boys hair. Then, it was well let's keep and open mind guys it is hair loss its hard stuff and now its well its stops it for sure and could maybe in a way provide regrowth? It's all confusing.
 

Armando Jose

Senior Member
My Regimen
Reaction score
1,022
Half of all human males in the developed world isn't a large enough customer base to bring a product to market? Hmmmm.....

Granted, there's more to ending hair loss then just "bringing it to market" but still. Look at Charlie Rose's reaction to the notion of an effective baldness treatment here:




That's going to be the response of most people. There are no shortage of men and women who want to treat their hair loss.
Very nice girl,
 

Cody1212

Established Member
Reaction score
67
f*****g kidding me...Charlie is right, wtf is the hold up? And she shrugs and goes well it's new! No sh*t, so is everything Amazon does but they push and get sh*t done.
DW people, do work. Make sh*t happen. We all have to do it in our everyday life if we want to get ahead.
It's sad that the medical world is progressing so slowly despite all of the technological advances elsewhere.
 
Top