How long have you been following this regimen and how have your results beenNiacin works, niacinamide seems doesn't. And it supposed to be taken orally. Seen a research of topical application with no positive results.
Be happy having a flush ) That's how it works, removing PGD2. Previously was thought it generates PGD2, what is bad. But later researches have shown that Niacin "flush" it out. As a result there is less inflammation in dermal adipose tissue. And less new fibrosis. Final effect could be compared to finasteride, only without hormonal tricks.
Daily regimen (niacin, not niacinamide!):
- 1gm
- on empty stomach
- don't eat right after
- better before sleep, as it can cause sedative effects.
Here is a hypothesis, why and how it works:
I remember your thread saying that you were using topical finasteride at the same time right?I've been taking 2grams a day for several months. Works great at reducing shedding for me 90%.
Yup thats right. I stopped the topical min and finasteride a few months ago now.I remember your thread saying that you were using topical finasteride at the same time right?
Ive only recently gotten to the point that Niacin makes sense. Used it before time to time (for short periods 2-3 months), but wasn't aware of proved hair-related benefits.How long have you been following this regimen and how have your results been
Jeez, it's an effective dose, but probably not right away.I did 1 gram of niacin last night and it kicked my ***... my entire body was beet red, itchy, hot, and I had to lay down. Is 1 gram that intense for anyone else? Could it indicate something?
Maybe placebo, but I do notice more body hair sprouting in previously hairless areas, so maybe there's some benefit.
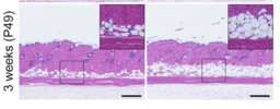
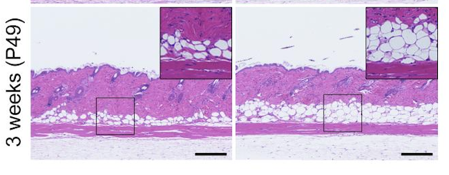
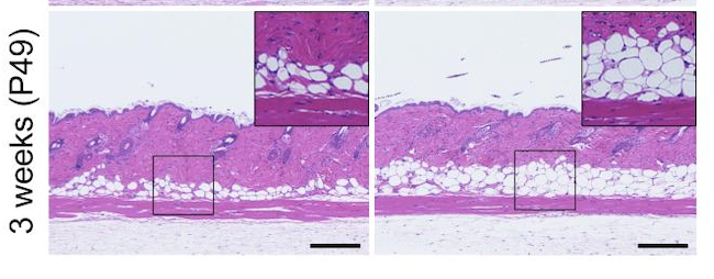
It was oral: "Twenty-eight-day-old mice were fed with niacin water for 1 and 3 weeks separately. The regression of dWAT was impaired with niacin treatment (n = 5 per group)."@balda isn't that a figure from study about topical effect on mouse skin?? Why do u think oral should be better?
Maybe I'm reading too much into it, but this seems especially applicable to my situation.Here is a hypothesis, why and how it works:
@Charger
May i ask you about your regimen, specifically Cetirizine?
How do you administer it? And how effective do you find it?
Thanks
This is expected, I take 2 grams a day. Your body will get used to the flush. Its harmless. I was like you, now I barely notice it.I did 1 gram of niacin last night and it kicked my ***... my entire body was beet red, itchy, hot, and I had to lay down. Is 1 gram that intense for anyone else? Could it indicate something?
Maybe placebo, but I do notice more body hair sprouting in previously hairless areas, so maybe there's some benefit.
I’m doing 1 g, and it’s deff enough. I’d be cautious— 2 mg seems like A LOT.I am going to try Niacin at 1g per day with other things (aspirin, castor oil, vitamin e, taurine, vitamin d, vitamin k2)
Do you think there is a great difference between 1g and 2g in effectiveness?
I know I’m not him, but I use oral niacin. 1000 mg
I know I’m not him, but I use oral niacin. 1000 mg
I feel like my shedding is way down! But I also just switched my RU provider, so that could be it. Also just hitting the 6-7 mark on dutasteride too, after switching from finasteride. So lotta factors lolDo you see results?
